안녕하세요 의정부바른성치과입니다오늘은 보철치료인 <브리지>에 대해 알아보겠습니다.여러분 한번쯤 들어보셨을텐데 이해하기 쉽게 설명해드릴게요!
안녕하세요 의정부바른성치과입니다오늘은 보철치료인 <브리지>에 대해 알아보겠습니다.여러분 한번쯤 들어보셨을텐데 이해하기 쉽게 설명해드릴게요!
![]()
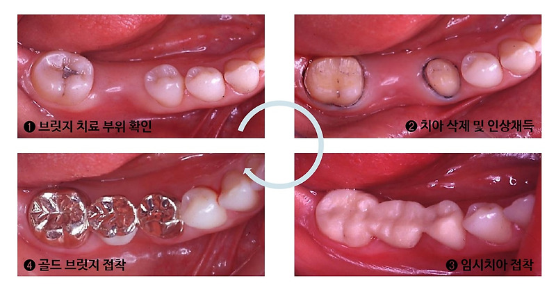
안녕하세요 의정부바른성치과입니다오늘은 보철치료인 <브리지>에 대해 알아보겠습니다.여러분 한번쯤 들어보셨을텐데 이해하기 쉽게 설명해드릴게요!위 그림과 같이 가운데 치아가 빠졌을 때 양쪽 치아를 깎아 발처럼 걸어 사용하는 보철치료입니다.가운데 치아가 빠지면 가운데 치아만 임플란트를 하면 되는데 왜 브릿지 치료가 필요할까요?간혹 임플란트 치료가 불가능하거나 힘든 경우가 있습니다.대표적인 예로 임플란트를 식립할 뼈가 턱없이 부족한 경우 골다공증 약을 오래 복용하고 수술 시 골괴사 위험이 있는 경우, 당뇨병이 매우 심하여 수술 시 회복력이 떨어지는 경우 등이 있는데, 이 경우 임플란트 치료 대신 브릿지 치료를 시행합니다.저희 병원에서 실시한 간단한 브릿지 치료 케이스를 소개해 드리도록 하겠습니다.한참 전에 어금니 하나가 빠진 환자예요.치아가 상실된 지 오래되었기 때문에 앞니가 이동하게 되었고, 뒷니도 신경치료가 필요하여 모두 함께 치료를 진행하기 위해 브릿지로 나아가게 되었습니다.한참 전에 어금니 하나가 빠진 환자예요.치아가 상실된 지 오래되었기 때문에 앞니가 이동하게 되었고, 뒷니도 신경치료가 필요하여 모두 함께 치료를 진행하기 위해 브릿지로 나아가게 되었습니다.앞뒤 치아 모두 신경 치료를 먼저 하고 브릿지 치료를 실시했습니다.앞뒤 치아 모두 신경 치료를 먼저 하고 브릿지 치료를 실시했습니다.앞뒤 치아 모두 신경 치료를 먼저 하고 브릿지 치료를 실시했습니다.치료전 치료후 치료완료후 엑스레이 사진입니다 치료전 치아사이의 공간과 상실된 치아부분은 브릿지치료를 통해 모두 해결되었습니다치료전 치료후 치료완료후 엑스레이 사진입니다 치료전 치아사이의 공간과 상실된 치아부분은 브릿지치료를 통해 모두 해결되었습니다치료전 치료후 치료완료후 엑스레이 사진입니다 치료전 치아사이의 공간과 상실된 치아부분은 브릿지치료를 통해 모두 해결되었습니다브릿지 완료 후 구강 내 모습입니다 육안으로 봐도 치간의 공간이나 상실부위가 없어지고 가운데 비어있던 공간에 치아가 생기고 저작기능도 회복되었습니다^^이상 <브리지> 치료에 대해 알아봤습니다.치아가 빠진 채로 있거나 임플란트가 불가능하다는 진단을 받으신 분은 <바른손치과>에 내원하셔서 검진을 받아보시기 바랍니다. ^^바른손치과의원 경기도 의정부시 동일로 46 82층#의정부바른손치과 #신곡동바른손치과 #의정부치과추천 #의정부 임플란트 #의정부 틀니 #의정부보험 임플란트 #의정부보험 틀니 #의정부치과보철 #의정부신경치료 #의정부브릿지 #의정부크라운 #의정부레진 #의정부치과충치치료 #의정부치아미백 #의정부사랑니 #의정부악관절 # 의정부스케일링 # 의정부안아픈치아 #노원치과추천 #포천치과추천 #양주 임플란트